Mon - Fri: 8:30 am - 5:00 pm
Call Us Today
Email Us
We believe that a beautiful, healthy smile is something that everybody can enjoy!
We want to offer you the best dental treatment possible, but before we make any recommendations we want to consult with you on the various options available.
5 Reasons To Choose Us
Here, at Yandina Dental, you are treated like a part of our family. Your input and comfort are highly valued and looked after, meaning you’ll never feel pressured into a treatment you don’t need. But ones that will enhance your true you.
The latest technology to assist you in making a customised plan. Every smile and set of priorities are different. Our Yandina dentist works by your side to curate a care plan that fits your needs and expectations.
Being your local dental provider means you’ll always have someone by your side for emergencies or to offer unbiased advice. As your family grows with us, we’ll be your partner in health for the years (and smiles) to come here at Yandina Dental.
We are rated 5.0 on Google! A perfect score by over 150 various clients that we've helped rejuvenate a beautiful smile. We want to provide you with the most professional and personal service, and most of all, help you project your inner beauty to its full capacity
We make it accessible for you to elevate and stimulate your inner self. With the flexibility and variety of our interest free payment plans. It is a very simple process to set up and we can even help you select one if preferred.
Gum disease treatment at Yandina Dental helps to prevent tooth loss and restores oral functionality.
Our Queensland periodontal treatments also help to avoid serious complications that can develop due to gum disease – infection can travel from the mouth via the bloodstream to other areas of the body, including vital organs.
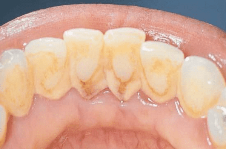
What is gum disease?
Gum disease is known medically as periodontal disease or periodontitis. It’s a major cause of tooth loss in adults, especially older people.
Gum disease is very common in Australia, with nearly one-third of adults having moderate to severe periodontitis. Gingivitis is even more common with more than half of adults having some form of Gingivitis.
Periodontal disease starts as gingivitis as a result of plaque and tartar build-up in pockets between the teeth and gums.
Neither Gingivitis nor Gum Disease are usually sore until the very late stages when teeth are loose and ready to come out, but for nearly everyone –dental calculus has formed and is causing gingivitis six months since your last clean. This is why we always recommend seeing our patients twice a year for a dental clean and polish to prevent gingivitis progressing to gum disease and to prevent gum disease progressing.
Periodontal treatments
When detected early, we can treat gum disease with minimally invasive deep cleaning – scaling and root planing.
In more severe cases, surgery may be necessary, and a bone graft may be required in cases of extensive jaw bone loss. Various levels of anaesthesia can be used in periodontal surgery, including sedation dentistry.
Circumstances that increase the risk of gum disease include:
Gum disease symptoms
Symptoms of periodontal disease include:
You may not realise you have gum disease during the initial stages – one reason why regular dental check-ups are important.
In many cases, gum disease is preventable with good oral hygiene backed by preventive dentistry.
You can minimise the risk of periodontal disease by:
If you suspect you may have periodontitis, gum disease treatment at Yandina Dental can help you regain your oral health. Contact us now – early treatment is imperative.
Call our friendly receptionist on 07 5446 8993 for more information or to arrange an appointment. We take emergency calls before 10am and are available 5 days per week, from 8.30 am to 5pm.
Enjoy our New Patient Exam and Clean offer for $199.
New Patient Implant consultations for $75.
We know it can be a daunting process, so we make sure we guide you through every step of the way and make you feel as comfortable as can be. Our team is trained to help you feel at ease from the moment you arrive in our practice, additionally we also offer IV sedation
We offer Child Dental Benefits Schedule rebates.
Plus we offer 10% off for Pensioners on Thursday’s.
We offer various competitive interest free payment plan options that will allow you to pay for your selected treatment in flexible installments.
You can expect to see some improvements after a few days after the treatment, but it may take a while for all of the symptoms to go away completely. In most cases, gingivitis usually clears up within 10 to 14 days. However, if your condition is more serious, it could take longer to treat.
A person cannot remove the build-up tartar and plaque at home. It needs professional treatment. Plaque and tartar can progressively damage teeth and surrounding tissue.
In various clinical studies, it has been shown that antibacterial mouthwashes can reduce plaque biofilm, kill bacteria in hard-to-reach places below the gums, and eliminate bacteria on non-tooth oral surfaces including the cheeks, tongue, and more.
Though gingivitis, the earliest signs of gum disease, can be reversed with dental treatment and proper at-home dental hygiene, once the gum disease gets to the level of periodontal disease, it cannot be reversed. If you have periodontal disease, all your dentist can do is treat it to try and control the infection
TESTIMONIALS
Regan and his team have really set the bench mark in dentistry. They are very friendly and make your visit on the day as comfortable as possible. From your choice of music , too blankets if you get cold. Even a hot towel at the end of session. Regan explained every little detail and what measures needed to be carried out . He even gave me 3 paths to choose for my dental work and what sort of time frame the work would last . I would recommend Yandina Dental hands down , if your looking for a new dental experience , knowing your teeth are in good hands. Go and see Regan and his team.
Tom Patient of Yandina DentalThe BEST dentist in Australia! I cannot recommend Yandina Dental more, they are absolutely phenomenal at what they do! I’ve moved two hours away from the clinic and will always make the trip up as I know I trust them with my whole heart! The staff are absolutely impecable and make everything feel like a breeze! Love love love your work guys!
Jaymie Patient of Yandina DentalYandina Dental is everything that my old dentist wasn't!! Gone are the days when the dreaded "checkup" made me break out in a cold sweat just thinking about it!!
Kerry Patient of Yandina DentalYandina Dental has one of the highest standards of health care I have come across in a long time. Their attention to detail and friendly team are always more then willing to go the extra mile and offer a friendly, welcoming environment, with a cup of tea included! I am more then willing to recommend this dental practice to all of my friends and family so they can all experience the boutique dental spa services.
Emma Patient of Yandina Dental



















Exceptional service and quality of service. Yandina Dental have been taking care of my teeth for the past 2 years and I have not felt more confident with my smile. As soon as I walk in the door I am greeted with a lovely smile and offered a drink while I am waiting. This is the only dentist I feel confident in taking care of my teeth. All I can say is they are amazing ☺️
Freida Patient of Yandina Dental